
사랑니 발치 후 주의사항과 발치 후 정상반응과 병원에 가야하는 이상 소견을 구분하는 법을 알려드리겠습니다.
아래의 내용들과 주의사항을 잘 지키신다면 피가 멎지 않거나 발치 후 가장 무서운 부작용인 드라이소켓, 그로 인한 극심한 통증, 구취를 막을 수 있습니다.
목 차
1. 사랑니 발치 후 주의사항
1-1. 거즈물기

발치를 하면 당연히 피가 나오겠죠. 이 피를 먹게 하기 위해 물려드린 거즈는 2시간 동안 꽉 물고 계셔야 하는데 지혈에는 압박 지혈이 가장 효과적입니다.
살살 물면 더 오랜 시간 동안 고통받으니 반드시 꽉 물어주세요. 2시간 동안 물고 계셨다면 거즈를 이제 뱉으시면 되는데 피가 멎었다면 일단 성공한 건데 만약 피가 계속 나온다면 1시간 정도 다시 물고 계시면 됩니다.
통상 24시간 동안은 길게는 일주일까지도 약간의 출혈이 지속될 수 있으니 참고해 주시고요.
1-2. 발치 부위 자극하지 않기

거즈를 물고 있을 때도 입을 놀리거나 말을 많이 하게 되면 거즈의 위치가 변해서 지열이 제대로 되지 않으니 주의해 주세요. 발치 후에는 정상적인 생리반응으로 입안이 매우 불편감을 느끼게 됩니다.
입안에 침과 피가 뒤섞이게 되고요. 느낌이 좋지 않겠지만 이는 모두 삼켜주셔야 지혈이 잘 되고요. 만약 자주 뱉게 되면 피 맛을 더 오래 볼 수 있으니 주의해 주세요.
빨대질은 입안에 침을 뱉는 것과 마찬가지로 음압이 형성되어 형성된 혈병이라고 하는 피떡이 떨어져 나가 다시 출혈이 될 수 있으니 빨대는 당분간 피해주세요.
1-3. 가글과 양치법
생리, 식염수나 깨끗한 물로 입안을 가글을 해 주는 것이 음식물 빼내는 데 효과적이고요. 발치한 부위는 건들지 않도록 주위 치아를 조심스럽게 칫솔질을 하시길 바랍니다.
1-4. 약 챙겨먹기
처방된 약은 보통 진통소염제, 항생제, 위장 보호제 3종류인데 식후에 먹는 것보다 8시간 간격을 지켜서 먹는 게 더 중요합니다. 물론 위가 안 좋으신 분들은 8시간 간격으로 식후에 먹는 거 둘 다 지키는 게 가장 좋겠습니다.
만약 통증이 너무 극심하신 분들은 타이레놀도 같이 드신다면 진통 소염제와의 상호작용으로 통증 조절에 더 효과적입니다.
2. 사랑니 발치 후 24시간 내 지켜야 할 것

첫 번째는 가급적 죽을 그중에서도 식은 죽을 드시라는 겁니다. 두 번째는 24시간 내에는 목욕이나 사우나 심한 운동을 자제하는 겁니다. 이는 몸에 열을 발생시키고 혈액순환이 촉진돼서 피가 계속 날 수 있기 때문입니다.
사랑니 발치 후 얼굴이 붓는 것은 당연한데 48시간까지가 염증반응에 의해 가장 붓기가 심해지는 타이밍입니다. 이때 냉습포나 얼음을 10분 간격으로 붙였다 떼어주었다가 하면 발치 부위로 가는 혈관을 수축시켜 붓기와 통증 감소에 효과적입니다.
반면 48시간 후, 즉 이틀 후부터는 혈액순환이 빨리 되는 게 발치 부위로부터 혈액이 빨리 빠져나가게해 붓기 감소에 효과적이므로 온찜질로 바꿔주시는 게 좋습니다.
3. 사랑니 발치 후 1주일간 지켜야 할 것
발치 후 일주일간 음주는 금지입니다. 담배는 술보다 더 안 좋은데 담배를 빨아들일 때 빨대질을 하는 것처럼 음압이 형성돼서 피떡이 떨어져 나가 출혈이 다시 시작될 수 있고 담배연기 자체가 조직의 치유를 방해하기 때문입니다.
4. 사랑니 발치 후 정상반응

발치 후 정상적인 몸의 반응과 이상반응을 구분하여 병원에 당장 달려와야 할 상황을 설명해 보겠습니다. 난이도가 심한 매복 사랑니 발치의 경우 붓는 정도가 더 심해질 수 있고 보통 일주일 전후로 붓기가 빠지게 됩니다.
그리고 수술 바깥 부위에 조직과 근육이 뭉쳐서 턱선 주위에 몽우리가 잡혀 불편감이 느껴질 수 있고요. 혈액이 주위 조직으로 흘러들어가 얼굴이 노랗게 비춰 보일 수 있는데요. 이는 2주까지는 지속될 수 있습니다.
하지만 위의 시간 이상으로 지속되거나 점점 심해진다면 병원에 내원해 주세요. 사랑니 발치 이후 당분간 개구장애, 즉 입이 잘 안 벌어질 수 있습니다.
이는 사랑니 발치 후 주위 조직 근육까지 염증이 진행되어 그럴 수 있는데요. 시간이 지나면서 괜찮아질 수 있습니다. 하지만 2주 이상 지속되거나 2주가 안 되었어도 숟가락이 안 들어갈 정도로 지나치게 입이 안 벌어진다면 병원에 가셔야 합니다.
5. 사랑비 발치 부작용
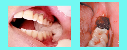
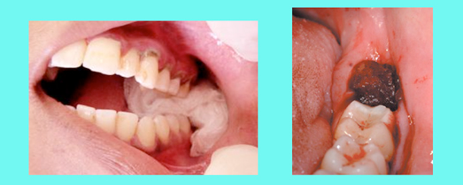
대표적인 사랑니 발치 후 부작용은 드라이 소켓 또는 건성 발치와라는 게 있는데요. 일상생활이 불가능할 정도로 강력한 통증과 극심한 악취가 특징입니다.
보통 발치 후 3~5일 후에 나타나고 원인으로는 침뱉기, 흡연, 자꾸 건드려져서 혈병이 떨어져 나가는 상황이 반복되거나 가글을 너무 강하고 심하게 하는 경우 발치 전부터 감염이 존재하거나 면역력이 떨어져 있는 경우 발생할 수 있고요.
시간이 지나면서 그대로 둬도 회복될 수 있지만 병원에 내원하셔서 통증 완화와 발치된 부분을 씻어내고 항생제 치료를 같이 받아주시는 게 좋습니다.
6. 사랑니 발치 후 주요 문의내용
발치 한 곳의 구멍은 메꿔지는데 보통 1개월 정도라고 생각하시면 됩니다. 이는 살이 차는 데 걸리는 시간이고 뼈까지 차는 데는 6개월 정도라고 생각하시면 됩니다.
살이 차기 전까지는 구멍에 음식물이 잘 낄수 있기 때문에 날카롭지 않은 바늘에 주사기를 구해 물을 쏴주거나 약간 세게 워터픽 물로 가글을 할 때 해당 쪽으로 물을 보내 가글을 해 시면 음식물을 효과적으로 빼낼 수 있습니다.
마지막으로 사랑니 발치 후 그 앞 치아가 시리다고 하시는 분들이 종종 있는데 구멍이 차기 전까지 그 앞 치아의 뿌리 일부가 노출되어서 생기는 자연스러운 증상입니다.
살이 차면서 자연스럽게 없어지지만 만약 1~2개월 이상 증상이 지속된다면 사랑니로 인한 충치, 사랑니 주위 염증으로 인한 것일 수 있으니 병원에 내원해 주시길 바랍니다.
그리고 매복 사랑니의 경우 실로 봉합을 해주는 경우가 많은데 실이 빠질 경우 발치 후 3일 이후는 보통 괜찮지만 당일이나 다음날 실이 빠진 경우는 치과에서 체크를 받아보시는 것이 좋습니다.
결론은 위에 말씀드린 주의사항을 잘 지켜 지혈이 잘 되고 드라이 소켓이 안 생기게 병원에 가는 일이 없도록 하는 것이 좋겠습니다.
'정보&리뷰' 카테고리의 다른 글
| 등기부등본 보는법 표제부 갑구 을구 전세계약 시 유의사항 (1) | 2024.06.02 |
|---|---|
| 인터넷 와이파이 연결 안됨 해결방법 3가지 윈도우 환경설정 (1) | 2024.06.02 |
| 골드카무트효소 효능 후기 복용법 카무트효소 먹는법 (0) | 2024.06.02 |
| 제로콜라 위험성 제로 탄산음료 제로탄산 부작용 안내 (0) | 2024.06.02 |
| 양치질 후 가글 사용금지 가글 사용 시 주의사항 (0) | 2024.06.01 |
